
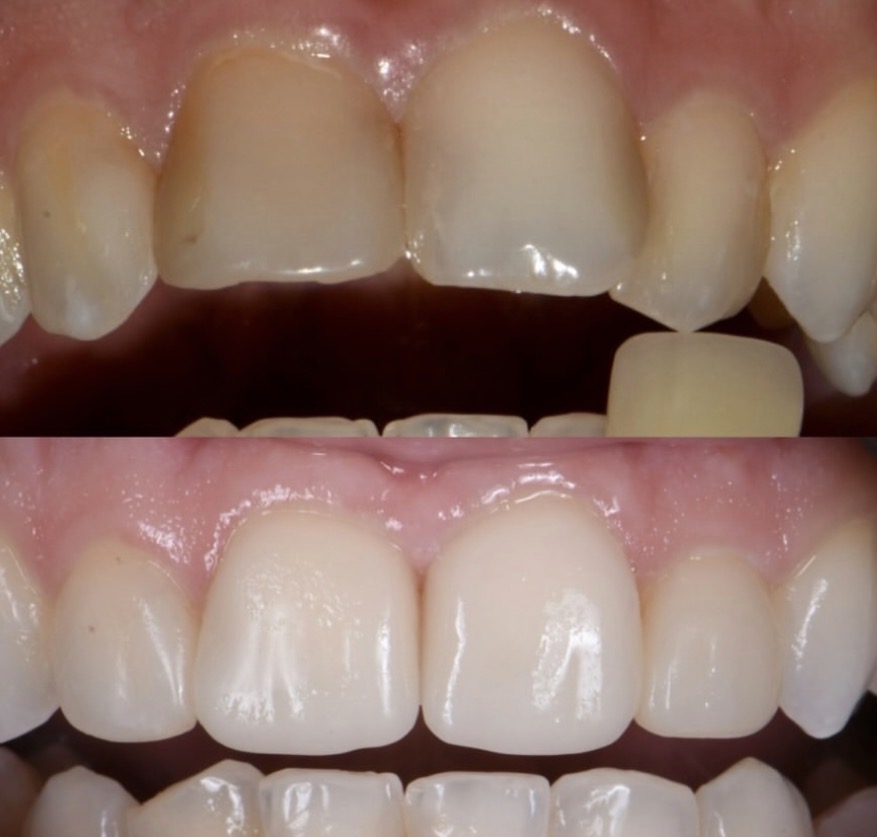
Frontálne FOTOKOMPOZITY a priame FAZETY
Praktický kurz zhotovenia estetickej, funkčnej a mechanicky odolnej fotokompozitnej výplne vo frontálnom úseku.
PRAKTICKÉ INFORMÁCIE O KURZE
📍 Miesto konania:
INFINITY ACADEMY, Kúpeľný ostrov 13, Piešťany 921 01
📅 Trvanie:
Február 2027 (presný termín bude včas upresnený), v čase od 9:00 - 17:00
💶 Cena kurzu: 800€ s DPH
✔ Max. 14 účastníkov
✔ Hands-on tréning: modelácia fazety na strednom a bočnom rezáku a očnom zube
✔ Lektor MDDr. Július Ročkár: odborník na mikroskopickú stomatológiu a endodonciu
✔ Kompletný postup: od izolácie koferdamom až po finálny polishing
✔ Podpora lektora: možnosť konzultácií aj po skončení kurzu
POČET MIEST na KURZ: 14
VOĽNÝCH: 12
PRE KOHO JE KURZ URČENÝ
✅ Pre tých, ktorí chcú dosiahnuť esteticky prirodzené a mechanicky odolné frontálne fotokompozity.
✅ Pre lekárov, ktorí chcú zefektívniť prácu vo frontálnom úseku
✅ Pre lekárov hľadajúcich priame odovzdávanie skúseností z praxe. Na rovinu, bez omáčok.
❌ Pre tých, ktorí hľadajú len teoretické prednášky.
❌ Pre lekárov, ktorí sa nechcú učiť pracovať s koferdamom a esteticky.

ČO VÁM TENTO KURZ PRINESIE
🔹 Schopnosť zhotoviť estetickú a mechanicky odolnú výplň
🔹 Techniky finishing-u a polishing-u pre prirodzený vzhľad
🔹 Pochopenie okuláznych pravidiel chrupu pre mechanickú odolnosť výplní, bez fraktúr
PROGRAM KURZU
- Izolácia pracovného poľa koferdamom vo frontálnom úseku.
- Preparácia kavity.
- Adhezívne systémy a tesný okrajový uzáver výplne bez pooperačnej citlivosti.
- Neobťažujúca anatómia a estetika frontálneho úseku chrupu.
- Stratifikácia výplne. Hra so svetlom, farbou, translucenciou a makroanatómiou.
- Finishing a polishing výplní. Doladenie mikroanatómie výplne.
- Zhotovenie trvanlivej výplne v harmónii s oklúziou a funkciou.
Kurz je praktický, minimum teórie, tipy a triky pre vašu každodennú prax, vlastné fotky a videá, hands-on, podpora lektora po kurze.
LEKTOR KURZU

MDDR. Július Ročkár
Špecialista na mikroskopickú stomatológiu a viceprezident Slovenskej endodontickej spoločnosti s bohatou medzinárodnou lektorskou praxou
Prečo sa od neho učiť
Expert na mikroskopickú stomatológiu: Od roku 2014 sa špecializuje na prácu s dentálnym operačným mikroskopom Carl Zeiss.
Skúsený medzinárodný lektor: Odprednášal desiatky odborných prednášok a praktických kurzov pre lekárov na Slovensku, v Čechách a v Nemecku.
Odborný líder v endodoncii: Od roku 2019 pôsobí ako podpredseda Slovenskej Endodontickej Spoločnosti.
Široký klinický záber: Absolvent Implant&Aesthetic Academy s certifikáciou v odbore dentoalveolárna chirurgia.
Čo prináša účastníkom kurzu
Praktické know-how z každodennej praxe: Skúsenosti získané založením a vedením vlastnej kliniky JuliusDental v Žiline.
Komplexný pohľad na ošetrenie: Expertíza v oblasti mikroskopickej endodoncie, protetiky, chirurgie a celkovej rehabilitácie chrupu.
Dôraz na moderné technológie: Odovzdanie vedomostí o najnovších postupoch a trendoch pre dosiahnutie najvyššej kvality ošetrenia.
- Overené postupy v praxi: Konkrétne tipy a triky vychádzajúce z tisícok reálnych prípadov a desiatok úspešných školení.
ZABEZPEČTE SI SVOJE MIESTO
Cena kurzu je 800 EUR vrátane DPH. Po prihlásení vám bude vystavená faktúra na 600 EUR a po kurze vám bude dofakturovaná zvyšná cena za kurz.
Z dôvodu zabezpečenia individuálneho prístupu je maximálny počet účastníkov v skupine 14.

