KURZY v INFINITY ACADEMY
ZÁKLADY ORÁLNEJ CHIRUGIE - Back to basic
16-17 apríl 2027
Curriculum of ENDODONTICS - 18-19 september 2026 SOLD OUT
NOVÝ TERMÍN: 17-18 september 2027

Curriculum of EXTRACTION - SOLD OUT v máji, nový termín 22-23 janurár 2027!
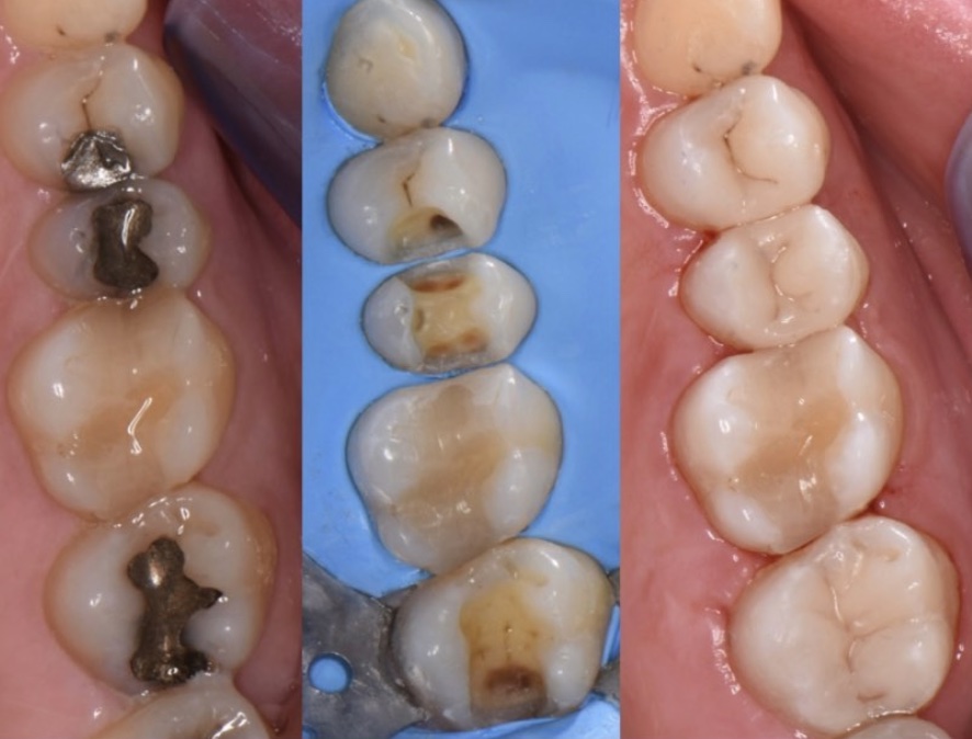
DISTÁLNE FOTOKOMPOZITY - 5-6 marec 2027
Frontálne FOTOKOMPOZITY a priame FAZETY
4. marec 2027

Zdravotná DOKUMENTÁCIA z pohľadu ZNALCA - SOLD OUT


